โกล'ชุดขาว'ร่อยหรอ!เสียลูกซีดานผ่าไหล่
งานเข้าต่อเนื่องสำหรับสโมสร เรอัล มาดริด เมื่อล่าสุดทวิตเตอร์ อย่างเป็นทางการระบุว่า ผู้รักษาประตูมือ 3 ลูก้า ซีดาน ต้องเข้ารับการผ่าตัดรักษาหัวไหล่ โดยไม่สามารถระบุกรอบเวลากลับมาลงสนามอีกครั้ง
ยืนยันจาก @realmadrid ว่า ลูกชายวัย 19 กะรัตของ เฮดโค้ช ซีเนดีน ซีดาน ซึ่งพึ่งถูกโปรโมทมาจากทีม เรอัล มาดริด กาสตีย่า เมื่อต้นฤดูกาล 2017/18 เพื่อเป็น แบ็คอัพของ เคยเลอร์ นาวาส กับ กีโก้ กาซีย่า ต้องลงมีดหมอรักษาอาการเจ็บบริเวณสำคัญ
"ลูก้า ซีดาน ต้องเข้ากระบวนการผ่าตัดบริเวณข้อไหล่ขวาที่ร้าว โดยกระบวนการจะมีขึ้นที่โรงพยาบาล ฌอง แมร์กโมซ์ ที่เมืองลียง ประเทศฝรั่งเศส โดยนายแพทย์ ชิลล์ส วอลค์"
"ภายใต้คำปรึกษาของผู้เชี่ยวชาญจากศูนย์การแพทย์ เรอัล มาดริด ซานีตาส เป็นผู้ควบคุม"

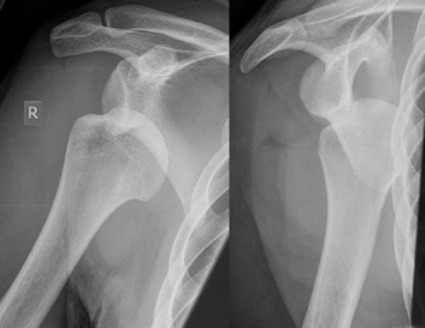
ฟิล์มเอ็กซ์-เรย์ บริเวณข้อไหล่ขวาที่ร้าว
เท่ากับว่า เวลานี้ มาดริด ต้องขาดทั้งโกลมือหนึ่ง เคยเลอร์ นาวาส (กล้ามเนื้อ) และ นายด่านมือสาม
โดยเกม ยูฟ่า ชปล.พบกับ สเปอร์ส คืนนี้ ( 1 พ.ย.) เบอร์สองอย่าง กีโก้ กาซีย่า ต้องทำหน้าที่ ส่วนข้างสนามเด็กอายุ 17 โมอา รามอส เป็นสำรอง
TH SPORTเว็บไซต์ข่าวกีฬา อัพเดทข่าวฟุตบอลต่างประเทศทุกวันทุกเวลา
